Lưu Lôi là một thanh niên mới 30 tuổi. Gần nửa tháng nay, anh bị sưng tấy, đau miệng, ăn uống khó khăn. Lúc đầu, anh tưởng là loét miệng nên dùng thuốc nhưng không có tác dụng. Cho đến một ngày, anh phát hiện có một khối u trong miệng khiến anh chú ý nên vội vàng đến bệnh viện.
Sau khi khám tại bệnh viện, bác sĩ nói với Lưu Lỗi rằng anh bị ung thư miệng. Lưu Lôi vô cùng kinh ngạc, bởi vì anh ta luôn giữ được sức khỏe tốt nên việc mắc phải bệnh ung thư là điều không thể tưởng tượng được.
Dấu hiệu miệng 1: Loét miệng

Loét miệng là một bệnh lý răng miệng phổ biến, thường xuất hiện dưới dạng vết loét màu vàng hoặc trắng nằm ở niêm mạc miệng, bên trong môi, lưỡi hoặc nướu phía trong miệng. Nó có thể được gây ra bởi nhiều lý do, bao gồm nhiễm trùng, bệnh tự miễn, suy dinh dưỡng, chấn thương miệng, v.v. Trong trường hợp bình thường, vết loét miệng ít ảnh hưởng đến sức khỏe, tuy nhiên, nếu vết loét lâu lành hoặc tái phát thường xuyên thì có thể cần phải cân nhắc điều trị.
Tuy nhiên, nếu vết loét miệng không lành trong thời gian dài hoặc tái phát thường xuyên thì đó có thể là dấu hiệu của bệnh ung thư miệng. Ung thư miệng là một khối u ác tính thường do nhiều yếu tố gây ra như hút thuốc, lạm dụng rượu, nhiễm virus u nhú ở người, v.v.. Các triệu chứng của ung thư miệng giai đoạn đầu bao gồm loét miệng, chảy máu nướu răng, hôi miệng và sưng hạch ở cổ. Nếu vết loét miệng không lành sau khi điều trị, có thể cần phải xét nghiệm thêm, chẳng hạn như sinh thiết miệng hoặc xét nghiệm hình ảnh để xác nhận thêm liệu bạn có bị ung thư miệng hay không.
Các tổn thương nhỏ hơn thường có thể được điều trị bằng phẫu thuật cắt bỏ hoặc xạ trị một phần. Tuy nhiên, nếu bệnh đã lan sang các khu vực khác, có thể cần phải sử dụng các phương pháp điều trị khác. Chẳng hạn như hạch bạch huyết hoặc các cơ quan khác, có thể cần phải phẫu thuật hoặc điều trị toàn thân phức tạp hơn, chẳng hạn như hóa trị hoặc xạ trị.
Dấu hiệu miệng 2: Mùi hôi miệng

Mùi hôi miệng hay còn gọi là hôi miệng, dùng để chỉ mùi khó chịu phát ra từ miệng. Hôi miệng thường do các hợp chất lưu huỳnh dễ bay hơi (VSC) do vi khuẩn trong miệng tạo ra. Những vi khuẩn này thường xâm chiếm các khu vực như răng, lưỡi, nướu và cổ họng. Ngoài ra, hôi miệng còn có thể là một trong những triệu chứng của các bệnh lý khác ở khoang miệng, cách phòng ngừa hôi miệng tốt nhất là thực hiện vệ sinh và chăm sóc răng miệng thường xuyên để ngăn ngừa tình trạng khô miệng, sâu răng, bệnh nha chu, viêm xoang, hệ tiêu hóa. bệnh tật và các vấn đề khác.
Các triệu chứng của ung thư miệng giai đoạn đầu bao gồm hôi miệng, loét miệng, chảy máu nướu răng và sưng hạch ở cổ. Nếu hơi thở hôi kéo dài và kèm theo các triệu chứng miệng khác, chẳng hạn như loét miệng hoặc sưng hạch bạch huyết ở cổ, có thể cần kiểm tra thêm để xác định xem bạn có bị ung thư miệng hay không. Việc phát hiện sớm ung thư miệng là rất quan trọng vì điều trị sớm có thể làm tăng tỷ lệ chữa khỏi và giảm đau đớn cũng như chi phí điều trị không cần thiết.
Trong giai đoạn đầu, phẫu thuật cắt bỏ là phương pháp điều trị phổ biến. Nếu bệnh đã lan sang các bộ phận khác của cơ thể, chẳng hạn như hạch bạch huyết hoặc các cơ quan khác, có thể cần đến các phương pháp điều trị phức tạp hơn, chẳng hạn như hóa trị hoặc xạ trị.
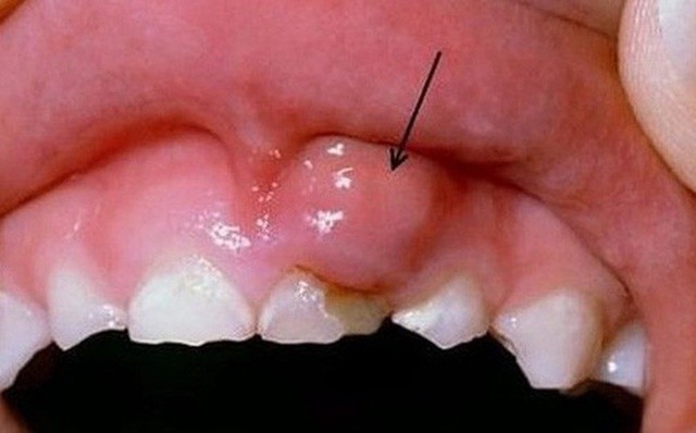
Dấu hiệu miệng 3: Khối u ở miệng

Khối u ở miệng là những khối u nhô ra hoặc xuất hiện trong miệng và thường do nhiều nguyên nhân gây ra. Một số nguyên nhân này bao gồm nhiễm trùng răng miệng, chấn thương miệng, u nang hàm, khối u miệng, v.v. Các cục u có thể xuất hiện trong miệng trên môi, má, lưỡi, nướu hoặc cổ họng. Một số cục có thể nhỏ đến mức khó phát hiện, trong khi một số khác có thể phát triển kích thước và cản trở việc nhai và nói. Đối với các khối u dai dẳng ở miệng, cần được chẩn đoán và điều trị y tế kịp thời để đảm bảo các triệu chứng ung thư miệng giai đoạn đầu được kiểm soát hiệu quả.
Các triệu chứng của ung thư miệng giai đoạn đầu còn bao gồm loét miệng, chảy máu nướu răng và sưng hạch bạch huyết ở cổ. Nếu khối u trong miệng vẫn tồn tại sau khi điều trị, có thể cần phải xét nghiệm thêm, chẳng hạn như sinh thiết miệng hoặc xét nghiệm hình ảnh để xác định xem có ung thư miệng hay không.
Cách tốt nhất để ngăn ngừa ung thư miệng là cải thiện lối sống và thực hành vệ sinh răng miệng tốt. Bỏ hút thuốc, hạn chế uống rượu và ngăn ngừa tiêu thụ quá nhiều đồ ngọt và đồ uống có đường là chìa khóa để ngăn ngừa ung thư miệng. Ngoài ra, khám răng miệng định kỳ và tầm soát ung thư là biện pháp phòng ngừa quan trọng. Nên khám răng miệng ít nhất mỗi năm một lần để phát hiện sớm các vấn đề về răng miệng và ung thư, nâng cao tỷ lệ chữa khỏi.
Nếu phát hiện có khối u ở miệng hoặc các bệnh lý răng miệng khác, bạn nên đi khám kịp thời để được chẩn đoán và điều trị. Điều trị ung thư miệng phụ thuộc vào vị trí và mức độ nghiêm trọng của bệnh. Ở giai đoạn đầu, phương pháp điều trị phổ biến là phẫu thuật cắt bỏ và xạ trị một phần. Nếu bệnh đã lan sang các bộ phận khác của cơ thể, chẳng hạn như hạch bạch huyết hoặc các cơ quan khác, có thể cần phải phẫu thuật hoặc điều trị toàn thân phức tạp hơn, chẳng hạn như hóa trị hoặc xạ trị.
Điều rất quan trọng là phải kiểm tra sức khỏe răng miệng thường xuyên, duy trì lối sống và thói quen ăn uống tốt, đồng thời phát hiện và điều trị sớm ung thư miệng. Thông qua việc phòng ngừa và điều trị sớm, tỷ lệ chữa khỏi bệnh có thể được cải thiện, giảm đau đớn và chi phí điều trị cho bệnh nhân.