Ăn thịt lợn chưa chín, người đàn ông liên tục co thắt, ngất xỉu, đến gặp bác sĩ thì bủn rủn khi biết sự thật

Hơn 700 con sán dây được phát hiện trong cơ thể một người đàn ông sau khi ông ăn thịt lợn sống được 1 tháng.

Ông Zhu Zhongfa, 46 tuổi đã nuốt phải trứng của ký sinh trùng aenia solium - còn được biết đến là giun sán lợn sau bưa ăn này. Người thợ xây ở Hàng Châu, Chiết Giang, Trung Quốc đã trải qua những cơn co thắt đều đặn vài tuần sau đó. Khi tới bệnh viện, ông đã nôn ra bọt trắng và mất ý thức.

Bác sĩ cho biết ấu trùng giun đi vào cơ thể ông Zhu qua đường tiêu hóa, sau đó di chuyển đến não thông qua hệ tuần hoàn. Những ấu trùng - giun sán mới nở - đã xâm nhập vào các mô cơ thể, tạo nên các nang sán. Những nang này có thể phân rã và gây nhiễm trùng.

Các triệu chứng như đau đầu mãn tính, mù lòa, co giật, mất trí nhớ có thể xuất hiện sau đó, hoặc có thể kéo dài vài năm sau khi nuốt phải trứng.

nhiem-san-vi-an-thit-lon-chua-chin-ky-1-1702278764.jpg
Lồng ngực người đàn ông bị nhiễm sán lợn. Ảnh: Internet

Tình trạng nhiễm ký sinh trùng Taenia solium, gọi là taeniasis, xảy ra khi ai đó ăn phải trứng giun sán từ thịt lợn bị nhiễm hoặc chưa nấu chín. Nang mô gây nhiễm trùng cysticercosis, đặc biệt nguy hiểm khi xảy ra trong não hoặc hệ thống thần kinh, được gọi là nhiễm trùng neurocysticercosis.

Trứng sán cũng có thể phát triển thành giun sán trưởng thành trong khoảng 2 tháng. Điều này có thể xảy ra ở các cơ quan khác trong trong cơ thể, cũng như trong cơ bắp, da, mắt và hệ thống thần kinh trung ương.

Theo Newsweek, ông Zhu cho biết mình đã ăn một nồi lẩu cách đó 2 tháng và không chắc thịt lợn bên trong đã chín kỹ hay chưa. Sau khi gặp những cơn co thắt thường xuyên và bị ngất xỉu trong vài tuần, ông đến gặp bác sĩ.

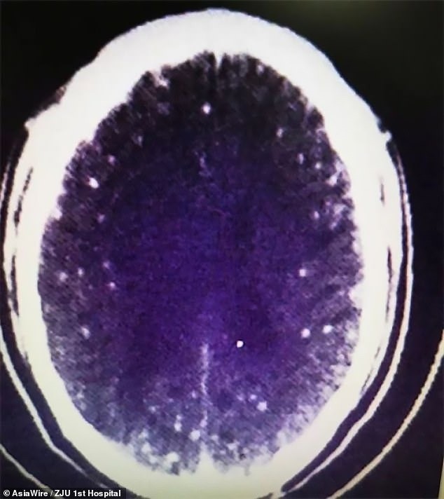
nhiem-san-vi-an-thit-lon-chua-chin-ky-2-1702278764.jpg
Những nang sáng trong não ông Zhu. Ảnh: Internet

Bác sĩ Huang Jianrong đến từ Bệnh viện liên kết của Trường Y khoa ĐH Chiết Giang đã yêu cầu thực hiện chụp cắt lớp MRI cho não và ngực. Kết quả hình ảnh cho thấy não và ngực ông Zhu đầy bọt giun sán lợn.

"Ông ấy không chỉ có nhiều tổn thương do não bị chiếm đóng mà còn có những nang sán trong phổi và cơ lồng ngực. Trong trường hợp này, ông ấy bị co giật và mất ý thức, nhưng có những trường hợp có nang ở phổi thì ho khan nhiều", bác sĩ Huang nói.

Ông Huang nói thêm: "Chúng tôi đã tiêu diệt ấu trùng bằng các loại thuốc chống ký sinh trùng và kê đơn bảo vệ các cơ quan của ông ấy, giảm các tác dụng phụ do điều trị gây ra".

nhiem-san-vi-an-thit-lon-chua-chin-ky-4-1702278764.jpg
Bác sĩ Huang (phải) đã dùng thuốc tiêu diệt hết giun sáng trong cơ thể ông Zhu. Ảnh: Dailymail

Không rõ liệu ông Zhu có gặp bất kỳ ảnh hưởng lâu dài nào từ việc nhiễm giun sán gây ra hay không. Bệnh cysticercosis và neurocysticercosis phổ biến nhất ở các cộng đồng nông thôn ở các nước đang phát triển ở châu Phi, châu Á và châu Mỹ Latinh.

Năm 2015, Tổ chức Y tế Thế giới xác định T. solium là một nguyên nhân hàng đầu gây tử vong do bệnh truyền nhiễm qua thức ăn.

Điều gì xảy ra khi bạn ăn phải Taenia solium?

Nhiễm ký sinh trùng Taenia solium, gọi là taeniasis, xảy ra sau khi ăn trứng giun trong thịt lợn bị nhiễm hoặc chưa chín. Sau khi một người ăn thịt lợn chứa cysticeri (ấu trùng), những trứng này sẽ trưởng thành thành giun trong khoảng hai tháng.

Điều này có thể xảy ra trong nhiều bộ phận khác nhau của cơ thể con người, cũng như cơ bắp, da, mắt và hệ thống thần kinh trung ương. Giun trưởng thành có thể sống trong ruột non của người trong nhiều năm, đạt đến chiều dài từ 2-7m.

Đau bụng, buồn nôn, tiêu chảy hoặc táo bón có thể xuất hiện khi giun trưởng thành đầy đủ trong ruột. Khi ấu trùng xâm nhập vào hệ thống thần kinh trung ương, chúng có thể gây ra các triệu chứng thần kinh, bao gồm cả cơn động kinh. 

T. solium là nguyên nhân của 30% số trường hợp động kinh ở nhiều khu vực địa phương, theo Tổ chức Y tế Thế giới. Những triệu chứng này có thể tiếp tục cho đến khi giun chết sau khi được điều trị, nếu không, giun có thể sống trong cơ thể trong nhiều năm.

T. solium được phát hiện trên toàn thế giới nhưng thường được tìm thấy nhiều nhất ở các quốc gia tiêu thụ nhiều thịt lợn, như châu Á.

Thanh Tú