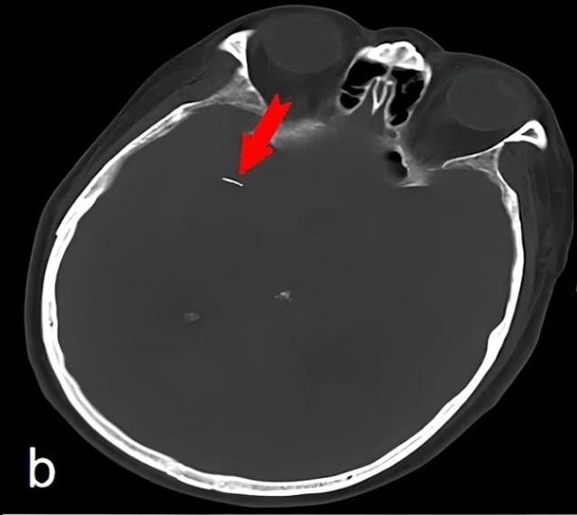
Mới đây, trường hợp 1 bệnh nhân tưởng mình bị chứng phình động mạch đã đến bệnh viện khám và được phát hiện có kim châm cứu cắm vào trong não gây xôn xao. Kết quả quét cho thấy chiếc kim dài 0,5 inch (gần 1,3cm) 'màu vàng' và 'hơi nhọn' nằm trong động mạch bên trong não của người đàn ông 74 tuổi. Nó gây ra chảy máu trong khiến người đàn ông này gặp vấn đề về trí nhớ.
Gia đình ông cho biết chiếc kim này có thể đã tồn tại trong đó suốt hai thập kỷ vì họ chỉ nhớ rằng ông đã châm cứu vào đầu những năm 2000 vì chứng đau nửa đầu dai dẳng.

Chiếc kim được lấy ra thông qua phẫu thuật liên quan đến việc cắt mở hộp sọ. Người đàn ông đến từ Tứ Xuyên, Trung Quốc, sống sót nhưng qua đời ba tuần sau đó do bị nhiễm trùng phổi.
Châm cứu là một phương pháp thực hành y học cổ truyền của Trung Quốc bao gồm việc đưa hàng trăm mũi kim nhỏ vào các điểm cụ thể trên cơ thể để kích thích năng lượng, được gọi là khí - phát âm là "chee" . Các chuyên gia châm cứu cho biết phương pháp này có thể giúp giảm đau, giảm căng thẳng và thậm chí hỗ trợ phục hồi khớp bằng cách giúp kích thích dây thần kinh và lưu lượng máu ở những khu vực được điều trị.
Nhưng bằng chứng khoa học về phương pháp này không có tính thuyết phục, chỉ có một số nghiên cứu cho thấy châm cứu mang lại lợi ích cho bệnh nhân.
Trước đó, chiếc kim nhỏ xíu bên trong cơ thể người đàn ông được tìm thấy trong một động mạch chạy qua não phía sau mắt phải - được gọi là động mạch não giữa bên phải. Có ý kiến cho rằng chiếc kim có thể đã bị gãy trong quá trình điều trị châm cứu và sau đó được đưa vào động mạch phía sau mắt.
Hiện chưa rõ nguyên nhân dẫn đến vết vỡ nhưng điều này có thể liên quan đến một cú ngã, va đập mạnh vào đầu hoặc do vị trí của kim trong hộp sọ bị dịch chuyển. Người đàn ông đã được đưa đến bác sĩ một giờ sau khi vấn đề về trí nhớ của anh ta xuất hiện, ban đầu gia đình lo ngại anh ta đang bị chứng phình động mạch. Nhưng kết quả quét cho thấy cây kim đâm vào não anh ấy đang chảy máu.
Để rút kim ra, trước tiên các bác sĩ thực hiện phẫu thuật cắt hộp sọ, phải cắt một phần hộp sọ của người đàn ông này để tiếp cận não. Sau đó, họ cắt xuyên qua màng cứng, hay lớp phủ dày bên ngoài của não và sử dụng kính hiển vi phẫu thuật để di chuyển xuyên qua não đến chiếc kim – tránh các động mạch và cấu trúc quan trọng. Sau đó, kim được rút ra và mạch máu bị vỡ được đóng lại bằng một chiếc kẹp kim loại rất nhỏ để đóng phần bị vỡ của mạch máu.
Sau cuộc phẫu thuật, người đàn ông ban đầu hồi phục tốt và được tháo máy thở 10 ngày sau đó. Nhưng sau đó anh ta bị nhiễm trùng phổi khi đang nằm viện – và qua đời ba tuần sau khi phẫu thuật.

Các bác sĩ cho biết tình trạng nhiễm trùng có thể liên quan đến việc anh ta bị bất tỉnh trong ca phẫu thuật, điều này vô hiệu hóa khả năng phòng vệ tự nhiên của cơ thể đối với nhiễm trùng phổi như phản xạ ho hoặc nôn trớ. Các bác sĩ chẩn đoán người đàn ông này mắc chứng giả phình động mạch nội sọ - tức là máu rò rỉ ra khỏi mạch máu trong não nhưng được giữ lại bởi các mô xung quanh.
Chúng khác với chứng phình động mạch thực sự, đó là khi thành mạch yếu đi và phồng lên khi máu tích tụ bên trong nó. Giả phình động mạch cực kỳ hiếm gặp và chiếm ít hơn 5% các trường hợp thủng động mạch.
Các bác sĩ cho biết đây là trường hợp đầu tiên được ghi nhận trong y văn về một người đàn ông mắc chứng giả phình động mạch do kim châm cứu gây ra. Các trường hợp trước đây là do nhiễm trùng làm tổn thương động mạch trong não cũng như chấn thương đầu - hoặc do va chạm mạnh vào đầu. Vụ việc được tiết lộ trên Tạp chí Báo cáo Trường hợp Y tế .
Viết trong bài báo do Tiến sĩ Qiang Li, một bác sĩ giải phẫu thần kinh tại Bệnh viện Đại học Y Tây Nam ở Trung Quốc dẫn đầu, các tác giả cho biết: “Các giả phình động mạch nội sọ do vật thể lạ gây ra là một thực thể đầy thách thức và hiếm gặp, cần được chẩn đoán và can thiệp kịp thời.
'Sự hiếm gặp của những trường hợp như vậy nhấn mạnh tầm quan trọng quan trọng của việc duy trì mức độ nghi ngờ cao, đặc biệt trong những trường hợp liên quan đến chấn thương y tế gần đây hoặc chấn thương sọ não.'