Một phụ nữ ở Michigan đã chết vì một căn bệnh não hiếm gặp khiến 100% bệnh nhân tử vong và hầu hết thường xảy ra ngẫu nhiên. Theo đó, Arlene VonMyhr, 55 tuổi, thức dậy vào đêm 8/1 với các triệu chứng đột quỵ, thường bao gồm lú lẫn, đi lại khó khăn và yếu cơ mặt.
Cô đến bệnh viện khám, các bác sĩ chuẩn đoán và cho cô về nhà, trong hai tuần tiếp theo, cô được đưa đến bệnh viện bốn lần vì các vấn đề về nói ngọng và thăng bằng. Gary VonMyhr, người chồng của cô, nói với Michigan Live: “Trong năm tuần sức khỏe vợ tôi suy giảm thực sự nhanh chóng”.

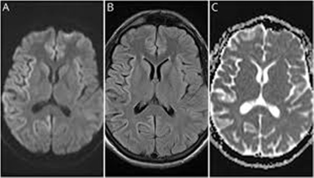
Các xét nghiệm năm ngày sau đó cho thấy Arlene VonMyhr mắc bệnh Creutzfeldt-Jakob (CJD), một chứng rối loạn thoái hóa não được so sánh với Bệnh Bò điên. Tình trạng này chủ yếu xảy ra với bệnh nhân một cách ngẫu nhiên, luôn gây tử vong và không có cách chữa trị.
Ông VonMyhr nói: “Sau khi có chẩn đoán xác định về CJD, thì tại thời điểm đó, họ đã dừng tất cả các phương pháp điều trị và truyền tĩnh mạch vì họ không thể làm gì cho cô ấy”.
VonMyhr qua đời vào ngày 19 tháng 2, cô là một trong năm người tại Corewell Health của Michigan không chịu nổi tình trạng này trong một năm, dẫn đến một 'cuộc điều tra khẩn cấp' vào năm ngoái.
CJD là một chứng rối loạn não nghiêm trọng do các protein gọi là prion gấp sai và tạo thành các lỗ trên não. Điều này làm gián đoạn sự giao tiếp giữa các tế bào và dẫn đến chứng mất trí nhớ cũng như các triệu chứng như mất trí nhớ, khó nói, vấn đề về thăng bằng và cử động giật cục. Khoảng 85% trường hợp không rõ nguyên nhân, phần lớn những trường hợp còn lại là do đột biến gen của protein prion. Ít hơn 1% được tìm thấy ở những bệnh nhân ăn thịt từ động vật mắc bệnh bò điên, được biết đến trên lâm sàng là bệnh não xốp dạng bò (BSE).

Động vật có thể lấy protein này bằng cách ăn thịt của những con khác mắc bệnh, dạng bệnh cổ điển, hoặc nó có thể xảy ra một cách tự nhiên khi một đột biến khiến protein không gấp lại được bên trong chúng, dạng không điển hình.
Có thể mất nhiều năm để động vật có dạng không điển hình bắt đầu xuất hiện các triệu chứng. CJD cực kỳ hiếm gặp, chỉ xảy ra ở một hoặc hai người trên một triệu người mỗi năm. Tuy nhiên, nguy cơ tăng theo độ tuổi, ảnh hưởng đến 5 trên 1 triệu người từ 55 tuổi trở lên. Điều này có nghĩa là cứ 6.000 ca tử vong ở Mỹ thì có một ca là do CJD.
Mặc dù hiếm gặp nhưng Michigan đã báo cáo 5 trường hợp từ tháng 6 năm 2021 đến tháng 6 năm 2022 , trong đó có một phụ nữ 78 tuổi nói với bác sĩ rằng: “Tôi không cảm thấy não mình hoạt động”.

Các bệnh nhân đến từ bốn quận ở Tây Michigan và các bác sĩ cho biết điều này cho thấy tỷ lệ mắc bệnh CJD cao hơn nhiều - từ 3,1 đến 12,5 phần triệu.
Các nhà nghiên cứu viết trong báo cáo trường hợp: “Làn sóng tập trung không gian-thời gian dày đặc như vậy của CJD ở Tây Michigan là rất bất thường và đáng báo động”.
Theo nhà dịch tễ học, Tiến sĩ Ryan Maddox, CDC cho biết họ đã biết về báo cáo của Michigan, lưu ý rằng “một số trường hợp mắc bệnh CJD lẻ tẻ đôi khi có thể được chẩn đoán ở một khu vực cụ thể trong cùng thời gian hoàn toàn là do tình cờ”.
Ông VonMyhr hiện đang cố gắng nâng cao nhận thức với hy vọng CJD có thể được nghiên cứu tốt hơn. Ông nói: “Điều này rõ ràng không ảnh hưởng đến nhiều người nhưng nó rất hung hãn, gây suy nhược và có tác động rất lớn”. ‘Động lực cuối cùng chắc chắn sẽ là tìm ra cách chữa trị.’