Phát hiện viên sỏi to bằng quả cam trong bụng người phụ nữ, bác sĩ đưa ra cảnh báo khiến ai cũng giật mình

Mới đây, các bác sĩ đến từ Lebanon đã tiếp nhận một trường hợp bệnh nhân có viên sỏi âm đạo khổng lồ nằm giữa các cơ quan ở vùng chậu.

Theo Dailymail, viên sỏi này đặc biệt hiếm bởi trong những tài liệu y khoa gần đây, chưa tới 100 trường hợp được báo cáo. Chúng xảy ra khi nước tiểu ứ đọng tích tụ trong âm đạo thành tinh thể cứng.

Điều này thường xảy ra khi bệnh nhân bị nhiễm trùng do vi khuẩn mà không được điều trị. Vi khuẩn phản ứng với các hóa chất trong nước tiểu tạo ra môi trường khuyến khích chất lỏng cứng lại. Những người mắc bệnh phải nằm liệt giường có nguy cơ bị sỏi âm đạo cao nhất vì vi khuẩn và nước tiểu có nhiều khả năng tồn tại trong âm đạo lâu hơn.

Trường hợp gần đây nhất, được báo cáo trên tạp chí Urology Case Reports , là một bệnh nhân 27 tuổi bị bại não phải nằm liệt giường. Người phụ nữ đến khoa cấp cứu sau khi lên cơn sốt và ớn lạnh kéo dài 3 ngày. Cô cũng ăn ít hơn bình thường, nôn mửa và đau bụng dữ dội.

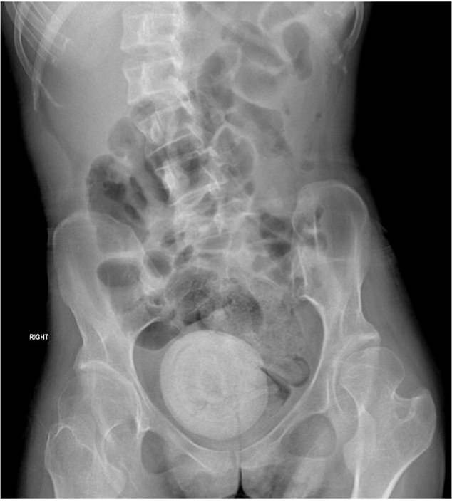
vien-soi-trong-bung-nguoi-phu-nu-1-1701056694.jpg
Hình ảnh chụp CT cho thấy viên sỏi âm đạo to bằng quả cam nằm ở vùng chậu của người phụ nữ. Ảnh: Dailymail

Các bác sĩ cho biết cô trông xanh xao và lờ đờ. Họ tiến hành chụp CT  trên bụng và xương chậu của cô ấy, và hình ảnh cho thấy một khối tròn, lớn ở vùng xương chậu.

Để điều trị vấn đề này, các bác sĩ - từ Đại học Lebanon ở Lebanon - đã sử dụng liệu pháp laser để phá vỡ khối sỏi. Sóng siêu âm được phát ra từ thiết bị đến vùng bụng của bệnh nhân, ở bên ngoài cơ thể.

Sau khi vỡ thành từng mảnh, các bác sĩ thực hiện ca phẫu thuật kéo dài 3 giờ để gắp từng mảnh nhỏ ra.

Vì viên sỏi quá lớn nên nó đè lên bàng quang của người phụ nữ, làm giảm khả năng chứa nước tiểu và dẫn đến rò rỉ nước tiểu nhiều hơn.

Một loại sỏi kết tinh phổ biến hơn nhiều là sỏi thận, hình thành tương tự như sỏi âm đạo. Các khối khoáng chất cứng dính lại với nhau trong nước tiểu cô đặc, tạo thành sỏi. Khoảng 11% nam giới và 6% phụ nữ phải đối mặt với tình trạng sỏi thận trong đời.  

Chúng có thể gây đau khi đi qua đường tiết niệu nhưng thường không gây tổn thương vĩnh viễn. Triệu chứng phổ biến nhất là đau dữ dội, thường ở một bên bụng.

vien-soi-trong-bung-nguoi-phu-nu-2-1701056718.jpg
Bác sĩ đã phải dùng laser để phá vỡ khối sỏi khổng lồ này trước khi tiến hành phẫu thuật gắp chúng ra ngoài. Ảnh: Dailymail

Bệnh bại não thường liên quan đến tình trạng tiểu không tự chủ, dẫn đến rò rỉ nước tiểu liên tục vào âm đạo. Thuật ngữ này mô tả một nhóm rối loạn ảnh hưởng đến khả năng di chuyển và duy trì sự thăng bằng, cũng như tư thế của một người. Đây là chứng rối loạn vận động phổ biến nhất ở trẻ em, gây ra tình trạng suy nhược, ảnh hưởng suốt đời, chẳng hạn như khó đi lại, khó nói và thực hiện các nhiệm vụ vận động cơ bản. 

Tình trạng này xảy ra do sự phát triển não bất thường hoặc tổn thương não đang phát triển, khiến người bệnh ít có khả năng kiểm soát cơ bắp của mình.

Người phụ nữ bị bại não co cứng, dẫn đến tình trạng cứng cơ chủ yếu ở chân, còn cánh tay ít bị ảnh hưởng hoặc không bị ảnh hưởng gì.

Các nhà khoa học từng cho rằng chứng rối loạn này là do thiếu oxy trong quá trình sinh nở, nhưng giờ đây họ cho rằng điều này chỉ đúng với một số ít trường hợp.

Khoảng một triệu người mắc bệnh bại não ở Mỹ và khoảng 10.000 trẻ sơ sinh được sinh ra mắc bệnh này mỗi năm.

Các nhà nghiên cứu cho biết những bệnh nhân bại não thường nằm lâu và tiểu không tự chủ có nguy cơ phát triển sỏi âm đạo.




 

Thanh Tú